VOTW: A real gut-wrenching situation!

Hello all! This week’s VOTW is brought to you by yours truly!

Hospital course

83 y/o F with PMH esophageal hernia presented to the ED with 2 days of abdominal fullness, nausea, and vomiting. Last bowel movement was 2 days ago. Bedside ultrasound was done.

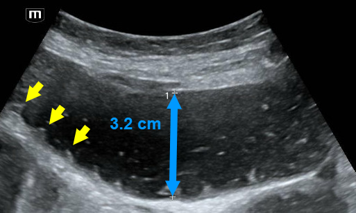
This is small bowel. How do we know this? Note the small finger-like projections from the inner wall (yellow arrows). These are called plicae circulares, which are  mucosal folds of the small intestine. Also note that the bowel diameter is dilated up to 3.2 cm (blue arrow).

Note the transverse view of the small bowel below the stomach. The bowel wall appears thicker than normal, measuring 0.88 cm. Also note that the stomach itself appears very dilated!

In the clip above, we can see multiple loops of dilated small bowel. We can see hyperechoic specs of intestinal contents within the bowel making a “to-and-fro” motion instead of normal unidirectional peristalsis.

In the clip above, we can see dilated small bowel with no movement of the intestinal contents at all!

Case Conclusion

The patient was found to have a small bowel obstruction with an incarcerated femoral hernia on CT imaging. NG tube was placed in the ED and patient was admitted for surgical intervention.

Characteristic Findings of SBO

·       In normal small bowel, the regular bowel diameter is < 2.5 cm and we expect to see normal peristalsis with unidirectional flow.

·       A small bowel obstruction on ultrasound will show multiple loops of bowel with a diameter > 2.5 cm. The intestinal contents will appear to move back and forth with “to-and-fro” movement. Sometimes the distal obstruction will prevent the intestinal contents from moving at all!

·       A small bowel obstruction will also lead to bowel wall edema, which causes a wall thickness > 4 mm. The bowel wall edema and dilated diameter will make the intestinal folds or plicae circulares appear more prominent, leading to the “key board” sign seen in the image above.

 

Happy scanning!

Sono team

 

Resources to review:

·       https://coreultrasound.com/small-bowel-obstruction/

·       https://www.emdocs.net/us-probe-ultrasound-for-small-bowel-obstruction/

·       https://www.acep.org/sonoguide/advanced/gi---bowel-obstruction

 ·